
Тайлагдашгүй нууцаар хамгийн баялаг бодгаль бол яах аргагүй хүн. Харин бид өөрсдийн биеийн бүтэц болон түүнд орших нууцыг тэр бүр мэддэг билүү?
Уншигч танд доорх хачирхалтай баримтуудыг сонирхуулъя.
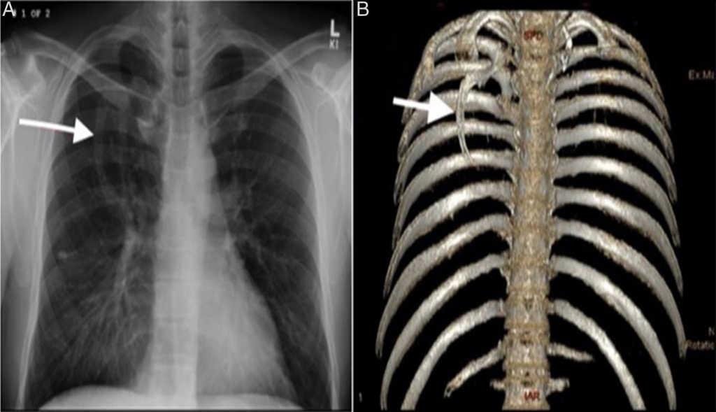
1. Дэлхийн нийт хүн амын 8% нь илүү хавиргатай

2. Хүний биед байх хамгийн жижигхэн яс чихэнд бий

3. Хүний хөл 26 яснаас бүрддэг

4. Хэл бол хамгийн хурдан эдгэрдэг эрхтэн юм

5. Зурагт үзэж суухаас унтах нь жин хасахад илүү нөлөөлдөг

6. Хүн өдөрт дунджаар 23 мянган удаа амьсгал авдаг

7. Хүн жилд дунджаар 1400 гаруй удаа зүүдэлдэг

8. Хэлэн дээр байрлах амтлах үүрэгтэй биржгэрүүд нь 60-с дээш насныхны хувьд тал орчим хувь нь алга болсон байдаг

9. Баруун уушги нь зүүн уушгинаасаа илүү их агаар авдаг

10. Жилд дунджаар хүмүүс 4,200,000 удаа нүдээ анивчдаг

11. Хөмсгөө зангидан уурлах үед 43 булчин ажилладаг бол инээх үйл явцад ердөө 17 булчин л ажилладаг

12. Эмэгтэй хүн 30 насандаа ясныхаа жингийн 1 хувийг алддаг бол 50 настай болох үед нь ясных нь жин 20 хувиар багассан байдаг

13. Хүн өөрийгөө гижигдэж чаддаггүй

Эх сурвалж: did-you-knows.com
Та энэ хүслийг өөр дээрээ нэмсэн байна!
Та энэ хүслийг биелүүлсэн байна!